It can occur due to number of reasons. Multiple TIAs leave scars in the brain often called small vessel disease that can be seen with an MRI exam.

Update On Cerebral Small Vessel Disease A Dynamic Whole Brain Disease Stroke And Vascular Neurology
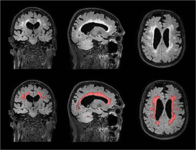
The aims of this study were to determine if brain volume was different between patients with SVD and control subjects whether it correlated with cognition in SVD and whether changes in brain volume could be detected during.

Small vessel ischemic disease brain. Cerebral small vessel disease SVD is the most common cause of vascular dementia. Lacunar infarcts which are small deep brain ischemic strokes. Interest in the use of surrogate markers is increasing.
The public health burden related to chest pain is substantial and the epidemiology of IHD because of largevessel coronary atherosclerosis is well documented. In many cases small vessel disease in the brain is a consequence of atherosclerosis and occurs in a similar fashion to narrowing of larger blood vessels found elsewhere in the body. This in turn leads to damage to the brain itself.
As a result small vessel disease causes WML. Cerebral small vessel disease SVD is the most common cause of vascular dementia. Changes to these vessels can damage white matter.
And a reduction of white matter volume that includes a loss of myelin. Or they may be spread throughout the brain causing a gradual deterioration of mental capabilities. The brains white matter which is deeper in the brain and mostly made up of the myelinated axons of neurons is fed by long small arteries and arterioles.
Small ischemic vessel disease occurs when there is damage to either the vessels themselves or the surrounding white brain matter. 2 By contrast the epidemiology of smallvessel disease SVD in the heart is less. Because most brain tissue appears white on MRIs these abnormalities were historically referred to as white matter changes.
Small vessel ischemic disease is also known as microvascular Ischemic or lacunar infarcts disease. The term Chronic Small Vessel Disease CSVD refers to the physical changes caused by small vessel disease including thickening of the vessel walls disturbance of the blood-brain barrier and demyelination of the nerve sheaths. Microvascular ischemic disease describes conditions that affect the small blood vessels in the brain.
The brain has many small vessels that are responsible for distributing and regulating blood fluid and oxygen in the brain. This is known as small vessel disease. Most WMHs are associated with a series of tiny silent strokes which occur when a clot forms in a small artery cutting off blood flow to a tiny region of the brain.
In general the relations are weak and not all subjects with SVD become demented or get parkinsonism. It reduces blood flow so the supply of energy and oxygen to the brain and the removal of waste become less efficient. The condition describes disorders affecting the small vessels of the brain.
Small vessel ischemic disease entails a situation where injuries to arterioles and capillaries are predominant resulting in reduced and interrupted brain perfusion. The brain has a rich network of blood vessels ranging from the large arteries to the tiny vessels deep in the brain. Microvascular ischemic disease is a term thats used to describe changes to the small blood vessels in the brain.
Ischemic heart disease IHD stroke and dementia are leading causes of death and disability worldwide 1 2 notably affecting aging populations. Cerebral small vessel disease SVD is an umbrella term covering a variety of abnormalities related to small blood vessels in the brain. These scars may be concentrated in one area of the brain causing a gradual loss of function in that area.
Interest in the use of surrogate markers is increasing. These conditions include stroke cerebral hemorrhage and. Narrowing of tiny blood vessels in brain.
Reduced or complete stoppage of blood flow eventually leads to death of brain cells in the affected area. Cerebral small vessel disease SVD is a frequent finding on CT and MRI scans of elderly people and is related to vascular risk factors and cognitive and motor impairment ultimately leading to dementia or parkinsonism in some. Small vessel brain disease is caused due to diminished supply of blood to the brain cells.
Cerebral small vessel disease alternatively subcortical small vessel disease chronic small vessel disease or cerebral microangiopathy is an umbrella term for lesions in the subcortical brain attributed to pathologic changes in the small vesselsIt is the most common cause of vascular dementiacognitive impairment and is a major cause of ischemic and hemorrhagic strokes. The most common MRI finding characteristic of cerebral small vessel disease is white matter hyperintensities WMHs. This damage eventually affects the brain matter which is diagnosed with an MRI or CT.

Cerebral Small Vessel Disease Radiology Reference Article Radiopaedia Org

Frontiers Cerebral Small Vessel Disease Csvd Lessons From The Animal Models Physiology
![]()
Asymptomatic Cerebral Small Vessel Disease Insights From Population Based Studies

The Association Between Frailty And Mri Features Of Cerebral Small Vessel Disease Scientific Reports

Example Of Small Vessel Disease Progression On Brain Mri Figures Show Download Scientific Diagram
ads
Search This Blog
Blog Archive
- January 2023 (10)
- May 2022 (9)
- April 2022 (2)
- March 2022 (2)
- February 2022 (8)
- January 2022 (8)
- December 2021 (1)
- November 2021 (10)
- October 2021 (7)
- September 2021 (6)
- August 2021 (7)
- July 2021 (9)
- June 2021 (11)
- May 2021 (6)
- April 2021 (8)
- March 2021 (9)
- February 2021 (8)
- January 2021 (6)
- December 2020 (5)
- November 2020 (14)
- October 2020 (3)
- September 2020 (1)
- August 2020 (4)
- July 2020 (7)
- June 2020 (56)
- May 2020 (34)
- April 2020 (3)
- March 2020 (8)
- February 2020 (4)
- January 2020 (4)
- December 2019 (8)
- November 2019 (12)
- October 2019 (6)
- September 2019 (4)
- August 2019 (7)
- July 2019 (7)
- June 2019 (7)
- May 2019 (5)
- April 2019 (8)
- March 2019 (5)
- February 2019 (7)
- January 2019 (4)
- December 2018 (12)
- November 2018 (4)
- October 2018 (5)
- September 2018 (5)
- August 2018 (11)
- July 2018 (3)
Labels
- 2016
- 2017
- abdominal
- ablation
- abstention
- accents
- accept
- acronym
- adults
- advance
- advantages
- affect
- after
- agencies
- ages
- agreement
- alcohol
- allina
- alphabet
- amazon
- ambulance
- another
- answers
- antibiotics
- antigen
- aphasia
- apple
- appraisal
- appreciate
- apraxia
- area
- attack
- awhonn
- babies
- baby
- back
- bags
- balls
- bathe
- beats
- before
- beginning
- belbin
- bending
- benefits
- best
- bethlehem
- between
- bill
- billing
- bills
- birth
- blake
- bleeding
- bleeds
- blood
- blues
- born
- bottle
- brace
- brain
- breast
- breastfeeding
- breathing
- briefing
- bring
- bubble
- buffy
- building
- burger
- burning
- burping
- business
- butter
- bypas
- carbs
- card
- care
- careers
- casual
- center
- certificate
- certified
- change
- chapters
- character
- characteristic
- charity
- chart
- checking
- checklist
- chest
- chewing
- child
- children
- childrens
- chinese
- chlorhexidine
- choice
- cholesterol
- cider
- cities
- citrate
- classic
- clean
- cleaning
- clinic
- clinical
- cloth
- code
- coffin
- cold
- colds
- collections
- collectors
- colon
- colonoscopy
- colostomy
- complaint
- complaints
- complications
- compression
- conceive
- congestion
- constipation
- contract
- contractions
- control
- convenient
- cortisol
- cost
- cough
- counter
- cpap
- cuff
- culture
- customer
- cycle
- dabrowski
- dance
- daughters
- days
- death
- decision
- defibrillator
- define
- defining
- definition
- deliver
- dense
- department
- development
- diabetes
- diabetic
- diapers
- died
- diet
- difference
- dilated
- dinner
- dirty
- discharge
- discount
- diuretics
- dizzy
- doctor
- does
- donate
- donating
- dose
- downtown
- dozen
- drink
- drinking
- drops
- dulcolax
- early
- east
- echo
- education
- effaced
- effects
- election
- elements
- emergency
- employer
- energizer
- enrollment
- equipment
- erikson
- etiology
- example
- excercise
- exercise
- exercises
- fables
- fabric
- failure
- fairview
- falls
- farmers
- fasciitis
- fast
- fasting
- features
- feed
- feeding
- feel
- fetal
- fever
- fifteen
- fighting
- find
- finder
- first
- flowers
- food
- football
- form
- forming
- formula
- four
- from
- fruits
- funny
- games
- garment
- gender
- general
- generation
- gestational
- gesture
- give
- giving
- gluconate
- glucose
- good
- grammar
- grammatical
- grams
- grant
- grief
- grievance
- guided
- guidelines
- happens
- hard
- have
- having
- headache
- heal
- health
- heart
- help
- hemorrhagic
- herbal
- heterogeneous
- hibiclens
- hierarchy
- high
- hill
- history
- home
- hospital
- hours
- hysterectomy
- ibuprofen
- ideal
- ideas
- imagery
- implantable
- impossible
- incision
- increase
- infant
- infants
- infection
- info
- inspirational
- institute
- insulin
- intelligence
- internal
- internships
- ischemic
- isosorbide
- itch
- itchy
- jewelry
- just
- kazimierz
- kidney
- kipling
- knee
- knowledge
- kubler
- labor
- lakes
- laminectomy
- laparoscopy
- last
- late
- latin
- leadership
- legal
- letter
- letters
- level
- levels
- lifestyle
- living
- locations
- long
- lost
- lots
- lower
- lumpectomy
- lung
- lungs
- machine
- magnesium
- making
- mammogram
- management
- many
- market
- mask
- maslow
- meal
- mean
- meaning
- medical
- medications
- medicine
- medicines
- memorial
- menstrual
- mercy
- meredith
- milk
- minneapolis
- minnesota
- minute
- miralax
- mixture
- monitoring
- mononitrate
- month
- months
- monticello
- mouton
- movement
- movie
- much
- multiple
- myplate
- mystery
- names
- nasal
- nature
- near
- negotiate
- newborn
- newborns
- normal
- norming
- northwestern
- nose
- notting
- november
- number
- office
- often
- ointment
- online
- opening
- opportunities
- opposite
- order
- orthopedic
- ounces
- over
- pacemaker
- pacemakers
- pain
- paint
- pairs
- paper
- parties
- partners
- patient
- pattern
- paul
- payment
- peanut
- pelvic
- performance
- period
- pharmacy
- photo
- phrase
- physical
- plans
- players
- please
- police
- posture
- power
- prefix
- pregnancy
- pregnant
- prenatal
- prep
- prescription
- pressure
- prevent
- prevention
- probability
- problem
- profit
- programs
- protocol
- provider
- pulse
- puzzles
- pylori
- question
- questions
- quotes
- ramps
- range
- rash
- rate
- record
- records
- recovery
- reducer
- reference
- refill
- refilled
- related
- relations
- release
- relief
- remedies
- remedy
- renew
- repair
- replacement
- reply
- report
- request
- require
- resection
- resignation
- respond
- responsibilities
- resting
- restrictions
- return
- ridiculous
- right
- roles
- room
- salad
- sales
- salivary
- sample
- schedule
- science
- scientific
- script
- scripts
- scrubs
- second
- sending
- senior
- sentence
- sentences
- service
- services
- serving
- shoes
- shot
- should
- sigmoid
- signs
- sinus
- sizes
- slayer
- small
- soap
- social
- sore
- soundtrack
- spell
- spotting
- stages
- statistics
- stock
- stool
- storming
- stress
- stroke
- strokes
- student
- study
- subject
- suburban
- successful
- sugar
- supplies
- suppository
- surgeons
- surgery
- swimmers
- symptoms
- take
- tear
- temperature
- template
- test
- testament
- testing
- tests
- that
- theory
- therapy
- through
- time
- times
- tissue
- tobacco
- toddler
- together
- tools
- torticollis
- total
- tracker
- tract
- trading
- traditional
- transitional
- transplant
- transportation
- trimester
- triple
- triumph
- trivia
- twin
- tylenol
- type
- types
- under
- university
- urgent
- vampire
- versus
- vision
- volunteer
- vowels
- walk
- wear
- weeks
- weight
- what
- when
- where
- which
- while
- whisper
- whose
- with
- without
- woman
- womens
- words
- work
- working
- worse
- write
- yellow
-
manyの意味 goo辞書 英和和英 . manyとは。意味や和訳。[形](more;most)1 多くの,多数の,たくさんの(⇔few)( 数えられる名詞に用いる;主に否定文・疑問文で用い,肯定文では many の代わりに a lot [lots] of,plent...
-
Coffin Stock Photos, Pictures & Royalty-Free Images iStock . WebCoffin Pictures, Images and Stock Photos View Coffin videos Browse...
-
Most Popular Movies IMDb . WebMost Popular Movies As determined by IMDb Users Sort by: Showing 100 Titles Our Most Popular charts use ...